Serving Montreal With a Smile
Dental Care You Can Depend On
Know What to Expect at Your First Visit
During your first visit with us, we will spend this time getting to know you and your dental needs before scheduling a separate appointment for a cleaning. This thorough approach allows us to detect abnormalities, learn about your concerns, and develop a plan to address your needs.
A Dentist Office Serving Montreal and Beyond
Dr. Roni Berbari started practicing dentistry in 1990, and opened Montreal Smiles in 1998. Has been serving the families of Montreal ever since. We offer a range of dental services, so we can help virtually any patient maintain the health of their smile.
If you don't live in Montreal, but your teeth require intensive treatment, our office will be more than happy to work with you. We can help you make arrangements for travel, dining, and hotel reservations so you can get the care you need. We are proud to welcome American patients, and patients from all over the world.
Tour Our Office
Finding Our Montreal Office
Our office is just a three-minute walk from the Côte-des-Neiges metro station, minutes from downtown Montreal. If you plan on driving, you can benefit from the free parking that is available to patients behind the building. You'll find us in suite 300.
Thorough Treatment in a Modern Office Contact Us in Montreal Today
No matter your dental needs, we are confident we have what it takes to help you. If you want to experience comfortable dentistry in an inviting environment by staff who genuinely care about their patients, we want to hear from you. We are accepting new patients and would love to help you and your entire family experience outstanding oral health.
To get started, request a free consultation with our dentist by filling out our form or calling:
(514) 733-3933
Montreal dentist Roni Berbari is passionate about not just improving your smile and appearance, but also your long-term, whole-body health.
A Relaxing Environment Is Our Mission
"The entire team at Montreal Smiles is committed to creating a calm, uplifting environment in which patients can feel relaxed and welcome. Our friendly staff members have been with us for a long time, and we work together toward a single goal: to create healthier smiles for a healthier Montreal."
Meet Our Dentist Dr. Roni Berbari

Our Featured Services

Restorative Dentistry
Transform the health of your teeth, gums, and supporting structures with restorative dentistry. This area of dentistry can treat gum disease, reinforce teeth, replace teeth, and more. Our dentist can explain the solutions available to you.
Dental Implants
Our dentist can provide every stage of your dental implant procedure, from performing the surgery to placing your restoration, all in the comfort of our Montreal office. Dr. Berbari can also perform preparatory bone augmentation to restore your candidacy for implants.
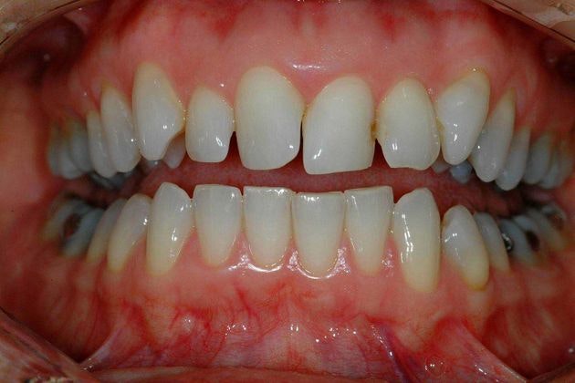
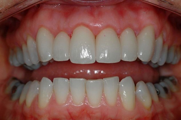
Smile Makeover
If you have several cosmetic concerns and don't know where to start for treatment, our dentist can develop a smile makeover plan that simultaneously addresses flaws like discoloration, chips, cracks, and misalignment through a custom combination of treatments. We offer solutions like veneers, teeth whitening, and Invisalign® to transform the appearance of your smile.
Our Complete Dental Services
Cosmetic Dentistry
Restorative Dentistry
General Dentistry
- Cleanings and Preventive Care
- Dental Exams
- Dental Sealants
- Family Dentistry
- Gum Disease
- Numeric X-Rays
- Teeth Grinding Treatment
- TMJ Disorder Treatment
- Wisdom Tooth Removal
See What We Can Accomplish Together
Frequently Asked Questions
What are your sedation options?
We can perform either oral conscious sedation or IV sedation for patients who are undergoing procedures like dental implant placement. If you choose to receive sedation, you will be provided with pre- and post-op instructions to ensure your safety and best possible experience.
Which languages do you speak?
Montreal Smiles has staff members who speak both English and French, including our practice coordinator, hygienist, and dentist. We understand the importance of communication, and want to accommodate you to the best of our ability.
Dr. Berbari strives to treat patients with compassion and warmth in a calm, inviting atmosphere.





